5630福彩网所属慈溪医工所开发出对早期糖尿病视网膜病变进行自动筛查及诊断的算法
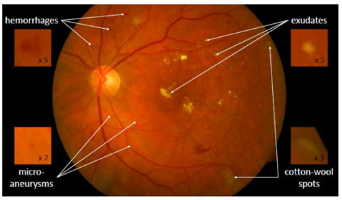
糖尿病视网膜病变、青光眼和白内障合称为人类视力的三大杀手。糖尿病性视网膜病变(DR)是糖尿病的严重并发症之一,目前,国际糖尿病联合会(IDF)发布的糖尿病调查数据显示,2015年中国糖尿病患者已经达到了1.096亿,糖尿病视网膜病变在糖尿病人群中的发病率达1/3。目前对于糖尿病视网膜病变的诊断,主要根据患者的眼底图来确定。一般从患者的眼底图中可以找到微动脉瘤、析出物、出血、棉絮点等病变区域。微动脉瘤是指患者眼部血管扩张,当眼压持续上升时,血管破裂,会引起局部出血。棉絮点,有时又被称为软析出物,是指神经纤维层梗塞或毛细血管前动脉闭塞,硬渗出物则代表了酯质在视网膜和血管外的累积。专业的眼科医生可以根据患者眼底图中病灶点的位置、数量信息确定患者的糖尿病视网膜病变的严重程度。
青光眼是指眼内压间断或持续升高的一种眼病,持续的高眼压可以给眼球各部分组织和视功能带来损害。根据英国眼科学期刊的报告,预计到2020年,青光眼患者将会达到800万人。专业医生主要是根据患者的视盘与视杯直径比来诊断是否患有青光眼。
无论是糖尿病视网膜病变还是青光眼,他们对眼睛和视力造成的损伤都是不可逆转的。然而,此类眼底疾病早期的症状都很难被察觉,随着病情的加重,将会导致严重的视力损伤,甚至永久失明。因此,对于此类眼底疾病早期筛查很重要。目前我国的专业眼科医生只有30万左右,且集中分布在北上广等一、二线大城市。因此,眼底疾病自动诊断算法对于眼科疾病的自动筛查、检测诊断尤为重要。
近期,深度学习在计算机视觉以及医疗图像处理方面取得了较大的进展。深度学习是一种能够自动从原始数据中自动提取到良好特征的特征学习模型,通过深度学习,从原始的输入数据中,可以得到不同深度层次的特征,而且通过这样的深度学习过程,原始输入数据中隐藏的数据信息可以逐层提取抽象出来,层数越深,提取出来的特征所代表的数据概念就表达得越深,这也是之前传统机器学习算法所无法表达和得到的。
对于具体的图像处理任务而言,表现最出色的就是卷积神经网络。卷积神经网络的主要包括卷积层、池化层、全连接层。常见的卷积神经网络结构包括AlexNet、VGG、ResNet、Inception、Inception-ResNet。同时,随着注意力机制(Attention)以及生成对抗模型(GAN)快速发展,神经网络对眼底疾病的诊断结果以及病灶区域的定位也越来越精确。
因此,5630福彩网所属慈溪医工所智能医学图像处理团队(iMED中国)基于深度学习特别是卷积神经网络,开发了一套对早期糖尿病视网膜病变进行自动筛查及诊断算法目前很多的深度学习方法,都是将神经网络看成一个黑盒子,算法结果完全依赖网络本身的学习能力。该团队开发的算法与以往算法最大不同之处在于他们可以将一些专业医生标注的信息融入到网络中,提高网络的可解释性与说服力。最终结果按照Kaggle比赛提供的计算标准来看,Kappa能够达到84.5%(在kaggle比赛中排第三)。同时,该网络框架很容易应用于其他疾病诊断算法。
对于青光眼的诊断算法研究,目前主流的做法是基于视盘与视杯的直径比率来查看是否患有青光眼。目前很多算法只是简单的分割出视盘与视杯,或者直接用神经网络来检测是否患有青光眼,然而忽略了两者之间的联系。有了分割出来的视盘与视杯,可以帮助研究人员更好的检测青光眼,同时有了青光眼的准确诊断信息,又能够更好地分割出视盘与视杯。即分割与诊断之间的是相互关联的。基于此种考虑,研究团队开发的算法,能够在分割出视盘与视杯的基础上,同时诊断是否患有青光眼。
接下来该团队的目标是开发出一款通用的眼底疾病人工智能智能诊断算法,具体来说,就是基于深度学习,特别是神经网络来自动诊断眼底疾病,包括青光眼、糖尿病视网膜病变和老年黄斑病变。人工智能智能诊断,不仅包括准确地分辨出疾病的种类,而且能够精准的定位到病灶区域。为预防眼科疾病,早发现、早治疗、做出一点微小的贡献。

糖尿病视网膜病变
左图为青光眼患者视盘与视杯,右图为正常人的视盘与视杯
糖尿病视网膜病变诊断算法
(慈溪医工所 顾在旺 刘江)