5630福彩网在抗菌型木质素基聚氨酯泡沫敷料方面取得新进展
皮肤创面是由各种原因引起的皮肤组织受损以及屏障功能破坏,由此还会引发局部甚至全身性生理及病理性改变。细菌感染是造成创面长期不愈的重要原因之一,患者常常出现伤口疼痛、肿胀、甚至化脓。据统计,每年有数百万人正遭受各类急性或慢性创面疾病的折磨,治疗费用高达960亿美元,已经成为临床面临的棘手难题。尽管抗生素已被普遍用于治疗伤口感染,但是多药耐药菌的流行与威胁限制了创面局部抗菌药物的使用,迫切需要开发具有长效本征抑菌功能的创面敷料材料。
近期5630福彩网高分子与复合材料实验室生物基高分子团队在陈景研究员和朱锦研究员的带领下,联合所属医工所陈静研究员开展协同创新,提出了一种简便的一步发泡法制备木质素基聚氨酯泡沫(LPUFs)敷料的新方式。该制备方法采用全生物基聚醚多元醇部分取代了传统的石油基原料,以液化木质素中痕量的酚羟基(约4mmol)作为银离子(小于0.3mmol)的直接还原剂和封盖剂,实现了在LPUF骨架内原位形成银纳米粒子(Ag NPs)。这种新提出的木质素聚氨酯/银复合泡沫(命名为Ag NP-LPUF)具有优异机械性能、热稳定能和抗菌性能。值得一提的是,Ag NP-LPUF对大肠杆菌(1h内)和金黄色葡萄球菌(4h内)的抑菌率均超过99%。将这种抗菌复合泡沫用于治疗小鼠模型全层皮肤缺损,观察到了其能显著促进创面愈合的效果。这种基于生物质资源的新型抗菌敷料制备工艺简便、高效,适合规模化工业生产,且其抑菌效应不依赖抗生素的使用,与商用聚氨酯膜敷料相比(TegadermTM),缩短了创面愈合时间,展现出重要的临床转化和应用前景(图1)。
通过与聚氨酯泡沫(PUF)的对比发现,孔隙在泡沫体中呈均匀分布,具有相互贯通的开放孔形态,有利于血液和组织渗出物的快速吸收,促进伤口愈合。此外,液化木质素多元醇与聚氨酯(PU)基体具有良好的界面相容性。对于Ag NP-LPUF样品,随着原料硝酸银溶液浓度的增加,其孔径略有减小。一方面,Ag NPs在发泡过程中可以作为额外的成核位点,导致气泡尺寸减小,因此,复合材料中纳米填料数量的增加可能会导致材料的孔径减小。另一方面,在聚氨酯泡沫的制备过程中,水(作为发泡剂)的用量对多孔形态也有重要影响(图2)。
研究人员采用体外平板计数法评价PUF的抑菌活性。与空白组和PUF组相比,复合泡沫逐对大肠杆菌和金黄色葡萄球菌的抗菌率均超过99% (图3),分析其抑菌活性的原因除了银纳米粒子外,木质素的酚基、甲氧基的侧链结构和共轭双键等也有抑菌作用。
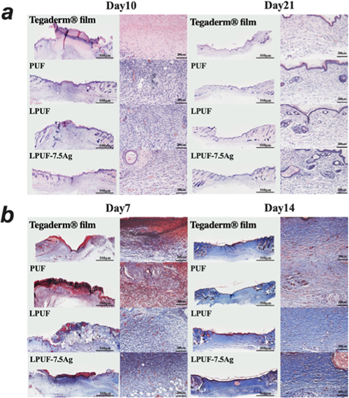
对不同时间的皮肤组织标本进行组织学分析,如图4所示,各组再生区均出现不同程度的肉芽组织。在第10天,PUF组几乎覆盖了一层完整的表皮,而Tegaderm膜组仍有较大的未闭合伤口。在第21天,泡沫敷料组观察到了血管和毛囊生成,尤其是LPUF-7.5Ag组,愈合过程加快,创面再生组织与正常组织相似。与之相比,Tegaderm膜组则没有观察到血管和毛囊生成。
该研究以“Antimicrobial Lignin-Based Polyurethane/Ag Composite Foams for Improving Wound Healing”为题,发表在生物大分子领域国际著名期刊Biomacromolecules, 2022, DOI: 10.1021/acs.biomac.1c01465,并被选为新一期封面文章。该论文第一作者是硕士生李淑琪和张延生,清华大学危岩教授对该研究提供了重要支持。该研究得到了国家重点研发计划项目(2017YFE0102300)、国家自然科学基金(51803227)、宁波市科技创新2025重大专项(2019B10063)、浙江省自然科学基金(LQ19E030009)等项目,以及医用植介入材料浙江省工程研究中心、浙江省生物医学材料技术与应用国际科技合作基地的资助。

图1 用于修复皮肤创面的Ag NP-LPUF复合泡沫材料的制备示意图

图2 PUFs的结构和性能表征

图3 PUFs的抗菌性能。分别在1h、2h、4h和8h对(a、c)大肠杆菌和(b、d)金黄色葡萄球菌的照片和相对菌活性

图4 小鼠伤口闭合评估
(高分子与复合材料实验室 李淑琪 马晓振)